Brent and Neil go to Manchester - Part 8
*******************************************
I have not received any encouragement or inducement from anyone to write about or discuss any information related to the Manchester Attack. All research discussed is exclusively my own and based solely upon information freely available in the public domain.
*******************************************
Brent Lee and Neil Sanders have released their 8 part exploration of Richard D. Hall's Book and film called Manchester The Night of the Bang. You can download Richard's book For Free Here.
If you would like to support Richard's work you can also buy his Book HERE and HERE. If you wish, you can donate to support his ongoing legal battle HERE.
Before every Episode, Brent and Neil warn their listeners they will be discussing distressing material. I will be discussing the same and will include distressing images and video. Please do not read these articles if you are not prepared to consider such material.
**************************************
In Episode 7 Neil Sanders reports:
Moving on to Eilidh MacLeod [. . .] He [Hall] thinks she is studying music because she likes bagpipes or whatever, and the big thing was that Richard and UK Critical Thinker [UKC], they said she didn't have a death certificate, they couldn't find their death certificate. [. . .] If you had just gone to Manchester County Council, you could have found the death certificate that I am holding in my hand right now.
Except, you couldn't.
The issuing of death certificates for the alleged Manchester deceased has been a far more complex, insufficient and lengthy process than Neil Sanders appears to think or wishes to report. There were no issued death certificates when Hall and UKC conducted their original research.
Registration of a death cannot proceed until a qualified medical professional has determined and completed the medical certificate of cause of death (MCCD). Where the cause is suspicious, unnatural or the result of possible violence, it must first be referred to a coroner.
The coroner decides if further investigation is warranted and will establish an inquest into the death if they deem it necessary. The coroner has the power to order a post-mortem examination (autopsy) to determine the precise medical cause of death. The purpose of a post mortem is to establish the MCCD cause of death but it cannot attest to where the person died or the circumstances of their deaths. Nor does it record precisely when they died. It is solely a judgement of the medical cause of death and likely time of death.
Post mortems were reportedly conducted, for most of the 22 alleged victims, within two days of their apparent deaths. As there was supposedly a high likelihood of homicide related criminal proceedings, the autopsies were allegedly conducted by UK government approved forensic pathologists.
There were no completed inquests into the 22 deaths. Instead a subsequent government controlled, statutory Public Inquiry was set up in October 2019 and convened in September 2020, more than 3 years after the reported deaths. At that stage, no death certificates had been issued.
From Volume 1 of the Saunders Inquiry report we read the following from John Saunders:
After the deaths, inquests had to take place. In August 2018 I was appointed by the Lord Chief Justice and the Chief Coroner to conduct those inquests as the nominated judge to sit as the Coroner.
John Saunders was appointed Coroner for the relevant inquests into the deaths of the 22 deceased and also as chairman of the subsequent Public Inquiry. In September 2019 Saunders ruled that the inquests would not go ahead but would, instead, from part of the Public Inquiry he would lead.
Saunders continued in Volume 1:
Following a ruling I made in 2019 about the relevance of material to which public interest immunity attaches, the Inquiry was established in October 2019 in order to permit me to investigate that material. Evidence within the scope of the inquests will form part of the material I consider in the Inquiry.
This prompted solicitors representing some of the bereaved families to express considerable concern:
MI5 and CTP [Counter Terrorism Polce] are likely to get their wish that the [inquest] process will become a Public Inquiry at which much evidence will be heard behind closed doors and without the presence or participation of the bereaved or their lawyers or the scrutiny of the media. Open justice and the rule of law protects us all. Candour and transparency are the friends of justice and accountability, and they help prevent future such outrages. Closed hearings, secret justice, may do the opposite.
Quite.
This brings us to the question of bereaved families. We can be all but certain that 22 people were not killed in the City Room of the Manchester Arena on 22nd May 2017. This in no way suggests that bereaved families do not believe they were. We don’t know if the 22 reportedly deceased are dead or not. Some, or all, may be.
Hall clearly stated his suspicion that some may have died in other circumstances. While the evidence underpinning Hall’s speculation is not entirely clear, at this stage, we simply don’t know if he is right or wrong. We do know that his reasons for suspicion are well founded.
Among High Court Justice Saunders other questionable decisions was his determination that none of the reported survivors, the key witnesses to the so-called terrorist attack, were to be considered “core participants” of the High Court Inquiry into that alleged terrorist attack. This allowed Saunders to deny any called “witnesses” legal representation. Thus ensuring none of the witnesses could, for example, formally request the disclosure of evidence that the Inquiry panel did not wish to disclose.
Since the 2005 Inquiries Act was passed, every aspect of so-called UK Public Inquiries have been controlled by the UK government. For the Saunders Inquiry, the UK government set the following Terms of Reference (ToR):
To investigate how, and in what circumstances, twenty‑two people came to lose their lives in the Attack at the Manchester Arena on 22nd May 2017 and to make any such recommendations as may seem appropriate.
The non sequitur is obvious.
What need is there for an “investigation” to ascertain the “circumstances” of a persons death if you have already determined they died “in the Attack at the Manchester Arena on 22nd May 2017”? In terms of issuing plausible death certificate, this was abject nonsense.
Without any inquests into the deaths, nothing more than the UK government decreed ToR for the Saunders Inquiry determined the “circumstances” of those deaths. To substantiate this narrative, UK government autopsy reports that were provided and reported in the Inquiry. The vital legal process of an inquest, examining the real circumstances of a person’s suspicious death, was not afforded to any of the 22 alleged Manchester victims.
In 2023, some of the bereaved families sought to change the law in England and Wales, precisely because they could not register their loved ones’ deaths. Ultimately, they were unsuccessful. The campaign received support in the House of Lords. Helen Newlove noted that possible future law changes would come “too late for the victims of the Manchester Arena bombing.”
Based on autopsy reports conducted by the UK government's appointed pathologists, the death certificates were eventually authorised, by the Inquiry chairman, enabling local registrars to issue the documents. What Neil Sanders is holding in his hand is a death certificate based upon Public Inquiry findings that we can be absolutely certain were horrendously flawed.
As far as evidence goes to "prove" the circumstances of someone's death, it could hardly be more unreliable. Nor could anyone, including Hall and UKC, have “found” any record of the death certificates until they were finally issued in 2023, six years after the reported deaths and three years after Hall (and UKC) were searching for them.
Brent states that the pair finalised recording of their “6.5 hour examination of Richard D Hall's Night of the Bang" on 16th September 2023. It seems likely that Sanders obtained the death certificate around this time.
Richard D. Hall is currently facing a claim for harassment and GDPR breeches in the High Court brought against him by Martin and Eve Hibbert. As we've already discussed he has been attacked by almost the entire UK legacy media. Hall has been lambasted, not just for his Manchester Arena theory, but for his previous work as well, including his reporting on the Jo Cox murder and the disappearance of Madeleine McCann.
This brings us to Brent Lee's and Neil Sanders' anecdote—reported in Episode 5—about how they became involved with the legacy media, especially the BBC and one of it's leading propagandists, Marianna Spring.
Spring is a proven liar who makes wild claims and accusations based either upon omission and partial evidence or no plausible evidence at all. For example, she alleges she is one of the most abused people on social media. This claim, based upon the BBC's own laughable "research," is groundless.
Spring makes such claims because nearly everything she currently does is evidently geared toward justifying and supporting the UK government's drive to censor the internet and end freedom of speech in the UK. She’s doing her job as a propagandist in other words.
In Episode 5, Sanders complained that his words were misreported by the BBC and Spring. He says he was portrayed in the edit as saying something he didn’t when he collaborated with them for Marianna Spring's Panorama episode called "Disaster Deniers" and her associated podcast series "Disaster Trolls." Richard D. Hall was attacked in both of these Mickey Mouse BBC productions.
Sanders indicates he was furious with Spring but accepted Spring's offered excuse that she and the BBC's Panorama team had misrepresented him and his statements due to editorial time constraints and the BBC’s preferred “narrative structure.” Sanders says he thought this was "fair enough."
I don't think misrepresenting individuals, misreporting their statements and portraying people as something they are not is journalism. I think it is a lie, a falsehood and, if Marianna Spring is behind it, almost certainly propaganda.
If Sanders reporting of their conversation is true, why Sanders found Spring’s lamentable excuse “fair enough” is mystifying. It suggests that he and Brent Lee have been used by State propagandists. I have no idea what role the pair think of hope they have to play.
In Episode 5, Brent Lee claims:
My whole point is to show that conspiracy theorists aren’t monsters. That we actually, just, like, care about the world. We’re good people being lead by bad info’. [. . .] That’s what me and Neil have been trying to show.
If Brent Lee and Neil Sanders believe they can achieve this aim by collaborating with Marianna Spring and the BBC, they are hopelessly naive. Putting aside that the “conspiracy theorist” label is a propagandist canard, the BBC is fully behind the UK government’s use of the “conspiracy theorist” hoax to shut down the supposedly democratic questioning of power.
Brent’s and Neil’s claimed ambition for their work also reveals some apparent confusion. They appear to acknowledge that people who question State narratives are often presented by the epistemic authorities, including the BBC, as “monsters.” Certainly that is the case with Richard D. Hall. Yet the duo have published more than six hours of audio content portraying Hall as a monster and, with the notable contribution of their guest Joel Hill, a sociopath, a “motherf*cker” and an idiot.
Beyond agenda awareness, Brent and Neil don’t appear to understand that it makes absolutely no difference “who” reports evidence. Even if they are monsters, it is the evidence they reveal that matters. It is up to us to decide what we make of that evidence.
I don’t think Richard D. Hall is right because he is who he is. I think he is right because I am convinced by the evidence he has reported and my own subsequent research and appraisal of that evidence.
Brent Lee adds that the original Panorama concept for "Disaster Deniers" was to explore why people believe "conspiracy theories" about terror attacks and why they question the purported survivors. Which, oddly enough, is precisely what Martin Hibbert says he wants to make illegal.
As someone who prominently claims to be a "reformed" conspiracist, Brent Lee came to the BBC's attention—he claims—after he had been in discussion with 7/7 bomb victim, Paul. These social media interactions took place as the anniversary of 7/7 was approaching, so prior to the 7th July 2022.
Brent's more formal discussion with Paul was subsequently used for Spring's Disaster Trolls podcast series that complimented the Panorama episode "Disaster Deniers." Episode 1 of Disaster Trolls was first broadcast on 24th October 2022. "Disaster Deniers" was first broadcast on 31st October 2022.
By then, the BBC were already aware of Hall. In 2019, then Labour front bencher Barry Gardiner MP held Richard D. Hall's video, on the reported Jo Cox assassination, in his hand and showed it to the national television audience on the BBC's flagship news discussion program, Question Time. Gardiner misled the British public by inferring that a letter he read out, written by someone he labelled "far right," was an accompanying letter written by Hall, which wasn't true.
According to Brent, once he made Spring aware of his conversation with 7/7 survivor Paul, Spring put the two together for the chat she would later use in her podcast series. Brent adds that it was during this time, presumably in July 2022, that Spring asked Brent "a few times" about Richard D. Hall.
As anyone who has ever challenged anything Marianna Spring says on social media will tell you, as a leading investigative journalist, she does not tolerate any questions. She, or one of the bots the BBC have set up to troll social media accounts and manage their various fake online personas, instantly blocks anyone who expresses any doubt about any of her highly dubious reports.
Safe to say, the only way to maintain any sort of online communication with Marianna Spring is to unreservedly agree with her. A quick look at Brent's interactions with Spring reveals a rather unedifying string of fawning messages as Brent seemingly put in a considerable amount of virtual effort to keep the BBC's social media and disinformation correspondent sweet.
Brent recalls that Spring's questioning about Hall prompted him to point her toward Neil Sanders because he knew Sanders was familiar with Hall. Brent tells us that he informed Sanders:
[. . .] they [the BBC] keep mentioning Richard Hall's name. [. . .] She [Spring] keeps mentioning Richard Hall.
At this point Sanders interjects in Brent's story and asserts that the reason the BBC and Spring were interested in Hall was because Martin Hibbert had informed the BBC he was bringing the case against Hall. Sanders alleges that the BBC knew nothing about Hall and clears the whole thing up by saying:
It wasn't the BBC going after Richard, they didn't know who Richard was. They [the BBC and Spring] heard of it from the law suit. [. . .] Marianna Spring took me out for a beer in the centre of Nottingham [. . .] and made it absolutely clear to me if you don't give your opinion on Richard there will be nobody to defend him.
I am not aware of any instance, since Brent and Neil started collaborating with BBC propagandists, of Sanders "defending" Hall. That said, Sanders was apparently misrepresented by the BBC so he may have. Regardless, the reported conversations between Sanders and Spring certainly occurred sometime prior to the recording of Spring’s “Disaster Trolls” podcast series.
Consequently, I question Brent’s and Neil’s story about the origins of Martin Hibbert’s High Court claim against Hall.
Spring informed Sanders that the BBC was intending to go after Hall prior to October 2022. Marianna Spring sent and email to Hall on 10th August 2022 stating the following:
I am getting in touch about speaking to you for an upcoming documentary & podcast series, which we're aiming to broadcast in a few months' time.
Spring had also repeatedly been asking Lee about Hall before October 2022. Given the August email and Brent’s account of his interview with 7/7 survivor Paul—arranged by Spring—It seems highly likely that this was in or around July 2022 and certainly no later than 10th August 2022.
Yet, in Episode 5, Neil Sanders says that the BBC first heard of Hall:
At the very same time Alex Jones got stung for $1.5Bn.
Alex Jones was found guilty and faced an estimated fine of approximately $1Bn in October 2022 be he wasn’t ordered to pay $1.5Bn until December 2022. True enough, Martin Hibbert first raised a legal dispute with Hall in December 2022 when his lawyers submitted a “letter before action” to Hall. In their 2022 Christmas Special, Brent and Neil talked shop with Marianna Spring. Brent and Neil claim that December 2022 is when the BBC first “heard” about Hall from Hibbert’s law suit.
Sanders story makes so sense at all. It even contradicts the duo’s own anecdote. Hall had already been the subject of two BBC attack pieces by October 2022 and Spring first contacted Hall in August 2022.
In this article, published on 31st October 2022 to promote "Disaster Deniers," it is reported:
Mr Hibbert is preparing to bring libel action against Hall.
This information can only have come from Martin Hibbert or his legal representatives. But the claim they would later finalise, no sooner than December 2022, was for harassment and GDPR breeches, not libel. This suggests, in late October 2022, the claim was in the early stages of preparation. This further explains why Hall did not receive any kind of notification from Hibbert’s team until December 2022.
So why, according to Brent Lee, was Spring repeatedly mentioning Richard D. Hall prior to October 2022, almost certainly in August 2022 and quite possibly as early as July 2022? Why did Neil Sanders claim Spring and the BBC only heard of Hall because of Hibbert’s claim if the claim was still in the early stages of preparation in late October 2022, some months after Marianna Spring kept mentioning Hall to Brent and Neil?
Martin Hibbert's legal team eventually filed the claim against Hall in June 2023, nearly three years after Hall published his book that the claim is supposedly based upon. In the intervening years, until December 2022, Martin Hibbert and his lawyers had done nothing to challenge anything Hall wrote, said or did.
It is notable—in the 31st October 2022 interview cited above—Martin Hibbert also stated:
I want to show him the videos that prove what we have been through and hopefully it will shut Hall up.
This was accompanied in the article with the last image of Eve and Martin Hibbert taken before the bang (see below). It shows Martin and his daughter Eve in a restaurant hours before the concert.
Martin Hibbert testified at the Saunders Inquiry that Eve was “fourteen at the time.” He added:
I remember looking across and she looked beautiful [. . .] she looked stunning [. . .] which is why I took that infamous picture, because I never used to share Eve on social media, but [. . .] I wanted to embrace it and, in a way, celebrate it, if that’s the right word, and that’s kind of why I took that picture of us, which is obviously the infamous picture of us at San Carlo [restaurant].
Mr Hibbert stated that he and his daughter had VIP tickets. He told the Saunders Inquiry panel “it was the first time Eve had been in a box.” Receipts were later produced as claimed proof they purchased the tickets and attended the concert. Apparently, neither Martin nor Eve took more photographs, in or from the VIP suite, to capture any other memories of their night together in a VIP box inside Manchester Arena.
In another, previous legacy media article, published in December 2020, Martin Hibbert stated the following about the "infamous" photograph:
The last picture. You know, before. That’s why everybody knew we were at the concert.
The photograph above is not evidence that he and his daughter attended the Ariana Grande concert. Nobody can know they were in the City Room at 22:31:00 (approximately) from this image. To claim they could is patently absurd.
Hall discussed the posting of this photograph on social media and the complete absence of any observable physical evidence placing Martin and Eve Hibbert in the City Room of the Manchester Arena that night (go to section beginning 12:20 in this Richplanet video).
Hall reported:
The image was posted on Twitter on the 22nd May 2017 at 6.53pm. [Martin] Hibbert posted the image again four years later. And this time felt the need to state the exact time the photograph was taken. [. . .] He has used the Twitter post to claim that the photograph is why everybody knew they were at the concert. [. . .] I am not aware of any photographic evidence that places them at the actual Arena that night.
We can’t be sure which photograph was taken when. If we look at the photographs below, they capture separate moments, have different lighting and Eve’s face and expression have notable differences. It seems the one on the right is the photograph Martin Hibbert says was taken at 6.46pm. Evidently, the one on the left wasn’t taken at precisely the same time.
While it isn’t unusual to snap more than one photo of any memorable event, there appears to be different versions of the “infamous” photo.
In October 2022, while Martin Hibbert was preparing his claim against Hall, he said he wanted to show Hall the "video" that would prove what he and his daughter had been through. Perhaps he meant footage showing their injuries or recovery journey’s.
It seems unlikely Hibbert was referring to any CCTV videos that “prove” he and his daughter were in the City Room when the bang occurred. As a result of the High Court claim brought against him by Hibbert, it was Hall who applied to the High Court to see that CCTV "video."
On 8th February 2024 Martin Hibbert and his legal team successfully secured a "summary judgement" effectively barring Hall from presenting any of the evidence we have discussed in this series in his own defence. Contrary to Martin Hibbert’s declared wish to "shut Hall up," the judgement he and his legal team won at the High Court included denying Hall access to the CCTV video that would have gone some way toward achieving that goal.
Martin Hibbert says that he intends to use the outcome of the trial to lobby for a law to stop investigative journalists questioning official accounts of terror events. The likelihood of Hibbert winning the case seems high, because Hall can barely present any evidence in his own defence. The censorship threat to investigative journalism could not be more pressing, but the entire legacy media, and some in the so-called independent media, such as Brent and Neil, are wholeheartedly supporting Martin Hibbert's claim against Hall.
The BBC were repeatedly asking Brent and Neil about Hall, seemingly as early as July 2022. The BBC first wrote to Hall in August 2022. Martin Hibbert didn't contact Hall for a further four months and didn't file any claim against Hall until more than nine months after the BBC first contacted Hall.
The first people to inform Hall that the High Court claim against him had been filed were not the claimants nor their legal team. Hall first heard about it from the BBC.
On 31st of March 2023, five weeks before Hall was first formally notified of the claim filed against him, Marianna Spring wrote to Hall and stated:
Mr Hibbert’s legal team have told us they have now filed a claim against you.
There was clearly collaboration between the BBC, Marianna Spring, Martin Hibbert and his legal representatives. Go to 00:54:29 in this Richplanet video to see a discussion of the timeline of events surrounding the court proceedings.
I do not believe Brent Lee’s and Neil 'Sanders’ claim that the BBC's interest in Hall began after Martin Hibbert told them he was taking legal action against Hall. The evidence contradicts that notion.
It seems clear that Martin Hibbert took legal action many months after the BBC started pursuing Hall. Again, I agree with Hall. It seems far more likely to me that the BBC and Marianna Spring influenced the claimants. Not the other way around, as reported by Brent and Neil.
Sanders contends that the images Martin Hibbert provided of his back, which Hall suggests are consistent with herniated disc surgery, not bomb shrapnel extraction, does not look like disc surgery scarring because it's "off to the side" of Hibbert's spine and "not directly over the spine" as it would be in a herniated disc operation.
This is possible, it does look to be slightly to the right of the spine from the viewers perspective. Although the elongated vertical scarring suggests spinal surgery in my opinion.
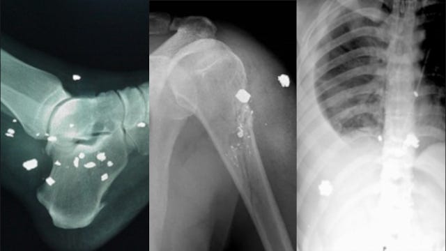
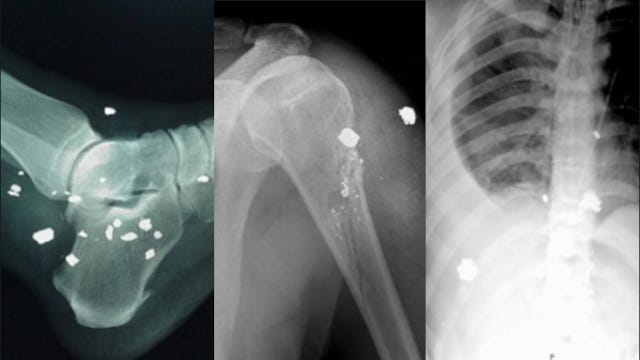
Sanders moves on to debunk the x-ray, also supplied by Hibbert to the legacy media, which Hall has questioned. Hall reports that he was contacted by two medically qualified people who also questioned the x-ray.
They told Hall that you would never take such a supine abdominal x-ray with the subjects hands folded over their body, thereby obscuring the central region you are trying to x-ray. Hibbert paralysing injury reportedly happened when bomb shrapnel struck his spinal chord located at the T10 vertebra. The medical professionals pointed out to Hall that the placement of the hands obscured that region from view in the x-ray (go to 44:29 in this Richplanet video).
Hall also speculated that the fuzzy outline of the shrapnel, allegedly seen inside Martin Hibbert’s body in the x-ray, may indicate they were photoshopped—also a possibility suggested to Hall by the medical experts. Sanders, completely ignoring the highly unusual hand placement, debunks this by stating:
A radiologist used to live next door to my mum. So I chatted to him and said "what does this show," [. . .] and the reason that there's black around the bolts is because there's air around the bolts. And what does the air show? That they've punctured the flesh [. . .] it's actually showing that it is real.
We have two anecdotes, one from Hall and another from Sanders. Sanders radiologist friend is correct. Air does appear on x-rays as black space. Hall's medical contacts are also correct. It is unheard of to take an abdominal x-ray while obscuring the abdomen with the patients hands.
Here are some other images of internal shrapnel with neither "fuzzy outlines" nor black space air pockets. Presumably, Neil Sanders would not consider them real.
Sanders then comes to, what he appears to believe, is the real clincher debunk that proves Martin Hibbert must have been injured by a shrapnel bomb. On his Facebook page, taken in February 2017, there is a photo of Martin Hibbert stood next to the footballer Eric Cantona. This, Neil claims, proves that he was not injured before the bang.
I have shared that image below next to a photo of Martin Hibbert stood with his wife in 2019 and another taken in 2022, both from legacy media articles Mr Hibbert has agreed to. According to Neil Sanders’ debunking logic, this must be evidence that he wasn't injured at all.
None of these photographs are relevant evidence of anything. The 2017 photo tells us no more about where, when and how Martin Hibbert sustained a paralysing back injury than the 2019 and 2022 photos.
During execution by firing squad, the coup de grâce is usually administered to end the suffering of victim by shooting them in the head. This is a very reliable method for killing someone. As testified by professor Bull at the Saunders Inquiry, the damage caused by shrapnel, that impacts with sufficient force to pass clean through the body, is much worse than the anatomical disruption caused by a bullet.
Martin Hibbert and Eve are often reported as being the people closest to the alleged shrapnel bomb to have survived. In this legacy media report they were supposedly 5m from the massive TATP bomb packed with 30kg of shrapnel. It should be noted that this distance has varied from “right next to” to 10m or 2m or 5m, depending on when Mr Hibbert’s account was reported or which outlet reported it.
A common aphorism, popularised by Carl Sagan, is that "extraordinary claims require extraordinary evidence." Brent and Neil shared a quote from Robert Shearer saying practically the same thing.
As often reported, Eve Hibbert is the only person ever to have survived shrapnel from a bomb entering one side of her head, reportedly at the temple, ripping, tearing and shredding its way through her brain, and then exiting the other side of her head, reportedly via her opposing temple. Not only is Eve Hibbert the only person to ever survive having bomb shrapnel blown through her skull, she has reportedly made a miraculous recovery.
This truly unbelievable survival story is so incredible, a scientific paper was written about Eve's amazing physical powers. That paper is titled “Manchester Arena Attack: management of paediatric penetrating brain injuries.”
According to the official timeline, Eve Hibbert was taken out of the City Room, and taken to the “casualty clearing station” on the Victoria Station concourse, at 23:25:54. Eve was allegedly seen to be taken away from the “clearing station” at 00:18 approximately.
It is 4.2 miles, by road, from Manchester Arena to Royal Manchester Children’s Hospital where Eve Hibbert was reportedly treated. The quickest route, via the A57(M) and A34, is a journey that normally takes 15 minutes.
At the Saunders Inquiry it was stated:
Eve [. . .] left the scene at 00:18 and arrived at hospital at 00:25
It was night and, in an ambulance using blue lights on relatively empty roads, it is possible that Eve arrived at Royal Manchester Children’s Hospital seven minutes after leaving the Arena. The time of 00:25 was stated in the paper subsequently written about her treatment:
A 15-year-old was triaged as and received basic resuscitation at the scene, arriving at our institution at 00:25. [. . .] CT [computed tomography scan] brain identified a ‘through and through’ pattern of injury from a shrapnel trajectory, extensive scalp fractures and evidence of retained shrapnel fragment. [. . .] A piece of shrapnel in the form of a large metal nut was retrieved from left fronto-temporal soft tissue.
While Eve was 14 at the time, it is stated in the paper that identification of patients was difficult. Images were produced to show the extent of the damage reportedly sustained by Eve.
Reporting that the patient was discharged following 9 months in hospital, the paper outlined the patient’s recovery status less than a year after reportedly sustaining the injury shown above:
They have a left upper limb spastic mono-paresis but are independently ambulant, fully conversant, attending school and are receiving ongoing psychological support.
This appears to be extraordinary evidence substantiating an extraordinary claim. The paper was first published in July 2020, more than three years after the injury was supposedly incurred. The paper corresponds precisely to the official narrative that was outlined in the Saunders Inquiry that convened less than two months after the paper was published. It is another example of the detailed secondary evidence presented to substantiate the official account that Brent and Neil have found so convincing.
As I said earlier, incredulity is not evidence. All incredulity means is the psychological feeling of "not wanting or not being able to believe something." In my case, I want to believe that teenagers can survive bomb shrapnel being blasted through their brains, but I just can't because it is a totally ridiculous proposition.
Neil Sanders observes that the reason Martin Hibbert has repeatedly stated that shrapnel passed through Eve's head at 90mph is probably due to him misunderstanding information given to him.
Sanders says:
I don't know if that is true or not. I know that shrapnel can travel at up to 3000 mph. So, I suspect, there has been some sort of breakdown in communication there. But, again, it's not indicative of anybody lying is it?
Isn't it?
Despite Sanders's reservations, it definitely is not true that shrapnel travels at 90mph within 5m or even 10m of the epicentre of a TATP bomb blast. It definitely is not true that shrapnel, travelling at 90mph, could possibly smash through bone and tear its way through a few inches of tissue before cleanly exiting someone’s head by bludgeoning its way through bone again. (go to 39:58 in this Richplanet video to see the relevant calculation.)
Despite the neurological paper—seemingly written about Eve Hibbert’s injury—the problem with the claim, once we understand the physiological damage caused by shrapnel bombs, is that the suggested mechanism of the injury and Eve’s subsequent recovery is, to all intents and purposes, preposterous. Perhaps, by reducing the alleged speed of the shrapnel, the hope is to make her seemingly impossible survival story sound more plausible?
Interesting as all this to and fro is, there is no observable physical evidence that a bomb exploded. All the observable physical evidence demonstrates there was no bomb. There is no evidence, other than a credit card payment receipt, that Martin and Eve Hibbert were in the City Room of the Manchester Arena either.
First establishing these objective facts is essential. There is little point arguing about scarring and x-rays and miraculous recoveries—which may or may not provide evidence of what happened to Martin and Eve Hibbert—if there is no evidence placing them in close proximity to any exploding shrapnel bomb in the first place.
Neil Sanders has already falsely claimed, without evidence, that Hall put a camera in Eve Hibbert's garden. Martin Hibbert has made the same false claim, among many others, about Hall. In Episode 7, Sanders adds that Hall's alleged inability to comprehend why Martin Hibbert would seek to keep Eve out of the media glare is a "crushing irony."
Neil explains why Martin Hibbert allegedly did so:
Probably to stop 50 year old men in vans turning up outside of her house and f*cking filming her from across the street.
The “crushing irony,” destroying this element of Sanders debunk, is that Martin Hibbert has gone to significant lengths to keep himself and his daughter at the forefront of media attention. Thanks largely to Martin Hibbert, Eve Hibbert has remained one of the most famous of the alleged bomb victims.
The number of articles and TV and radio appearances Martin Hibbert has agreed to, where he openly discusses what allegedly happened to his daughter and highlights her medical condition in great detail, are too numerous to list. Martin Hibbert couldn't have done more to keep Eve in the media spotlight.
Martin Hibbert has now written and published a book where he again reportedly discusses Eve's injuries in detail. With regard to the timing of Hibbert's civil action, although it isn't entirely clear what he is referring to—I have not read his book—in this recent article in the Scottish Daily Mail, Martin Hibbert, as usual, talks openly about Eve's reported injuries but also states the following:
Following a Panorama documentary investigating these ‘disaster trolls’ I went on TV to discuss it and all the publicity led to action. Hall’s YouTube channels and the market stall in Wales where he sold books and DVDs expounding his theories were closed down, and a group of us survivors have started legal action to ensure that he can no longer defend his poisonous claims. Hopefully, by this summer the case will have concluded completely. At 6.53pm on the night of the bombing, with less than four hours to go before Salman Abedi detonated his homemade explosive device, I posted to Twitter a photo of the two of us having a pizza at our favourite Italian restaurant, not far from Manchester Arena.
Quite clearly "the case"—that should be concluded this summer—is the claim Martin and Eve Hibbert—not a group of survivors—have brought against Richard D. Hall in the High Court. Hibbert seems to be inferring that "the action" that followed "Disaster Deniers" included "the case." Although he may just have been talking about the BBC pressurising YouTube to remove Hall's channel or haranguing Hall's local authority to shut down his place of business.
Hibbert quite rightly confirms that Hall cannot defend himself. The High Court removed that right from Hall after Martin Hibbert and his legal team secured a summery judgment to stop Hall presenting evidence in his own defence.
This legal success included denying Hall access the video evidence Hibbert claims to exist. The CCTV video is the kind of evidence he says he wants to show to Hall to shut him up. Thanks to Martin Hibbert’s current progress in his civil action against Hall, no one will ever see that evidence.
Instead, all we have is a questionable photograph of him and Eve in a restaurant. It allegedly captured father and daughter several hours before the bomb supposedly blew up in a location half a mile away from where it reportedly blew up.
Hibbert again, very precisely, reports to the legacy media, the time of the social media posting of the "infamous" photograph of the two of them at "6.53pm on the night of the bombing."
I don't think any of us need to be professional statement analysts to recognise, as Hall suggests, that there is a "strong need to persuade" us that this photograph somehow "proves" he and his daughter were in the City Room "on the night of the bombing." It doesn't, but raising such objections is, according to Brent and Neil, a "terrible thing."
Martin Hibbert's persistent efforts to keep himself—and Eve—at the centre of the Manchester story contrasts notably, as observed by Hall, with Eve's mother Sarah Gillbard. Unlike many of the other purported victims and witnesses to what happened and its consequences, Sarah Gillbard has maintained almost total legacy media and social media silence about her daughter and the alleged bombing. Sarah Gillbard's reluctance to talk about Manchester is one of the reasons Hall's inquisitiveness about Eve Hibbert was piqued in the first place.
Sarah Gillbard's reticence indicates that she tried to protect her daughter from public scrutiny. Her efforts have evidently been thoroughly undermined by Martin Hibbert's relentless campaign to promote his own, and Eve's, public profiles.
All reasonable consideration of the evidence leads to the conclusion that there was no bomb. We also have clear evidence showing foreknowledge and that crisis actors were used. Martin Hibbert, with considerable support from the legacy media, has made himself the most prominent alleged Manchester survivor. There is no plausible physical evidence to place him at the Arena that night. He posted the “infamous” photo at a specific time which, as he has repeatedly emphasised, was captured and posted on social media before the bang.
It is pure speculation on my part, but could it be that Martin Hibbert is the crisis actor who was chosen as the face of Manchester before the bang? In light of everything else we have discussed, while admittedly I don’t know, I think it is possible.
The strongest part of Brent's and Neil's debunk is the duo's convincing report of the errors Hall made when he speculated about what happened to the victims. We have already discussed why Hall used statement analysis and its shortcomings. We have also considered the possible reasons Hall embarked on this conjecture in his original book and documentary.
It is easy for Brent Lee, Neil Sanders and I to question Hall for doing what he did. The speculation and the statement analysis did not add any particular value to his theory. If anything, it only enabled people like Marianna Spring, Brent Lee, Neil Sanders, and now me, to criticise what was otherwise a dogged and outstanding example of investigative journalism.
Hindsight is a wonderful luxury to have.
But Brent and Neil just can't resist embellishing their own better work with false claims and misrepresentation. For example, Sanders alleges that Hall accused the Roussos family of "murdering" their daughter. Hall did no such thing.
Hall wrote:
Did Lisa Roussos suffer an accident some time before the concert? Was Saffie involved in the same accident? Did an accident occur at the premises of the family business, the fish and chip shop in Leyland? If so, might that explain why the family wanted to quickly move out of the property? And could it also explain why they wanted to re-name the premises from ‘The Plaice’ to ‘Saffie’s Plaice’?, i.e. Saffie’s place of rest?
Sanders is correct to say that Hall presented little or no evidence to warrant such specific questions. Although, given that Hall has uncovered and reported the evidence to show that there was no shrapnel bomb, perhaps we can appreciate why he posed them.
That said, such questions gave Brent and Neil another opportunity to play on their listeners emotions, deploy appeal to emotion propaganda techniques yet again, and say things like:
It is not f*cking cool to accuse parents of murdering their own children or causing their death through negligence.
Agreed, but then Hall didn't "accuse" them of doing so.
At a time when people are getting their lawyers out, the difference between an accusation and a question is not a trivial matter.
Brent’s and Neil's evident eagerness to support and promote the legal claims brought against Hall, by any means they can, further detracts from the few debunking successes they were able to provide to their listeners.
Ultimately, the debunkers haven’t even dented Hall’s theory that the 2017 Manchester Arena bombing was a hoaxed false flag. In many ways they’ve strengthened it. Brent and Neil have flapped around in the margins and offered nothing to plausibly challenge Richard D. Hall’s investigative journalism.
Please join me one last time tomorrow and I’ll offer my final response to Brent’s and Neil’s 21 point which, they incorrectly claim, annihilates Hall’s Manchester Arena theory.



















Iain - one ancient story as regards shrapnel in the head to consider....
https://www.britannica.com/biography/Phineas-Gage
"Post mortems were reportedly conducted, for most of the 22 alleged victims, within two days of their apparent deaths". How convenient. If this was a false flag event, then so was Covid 19 and then autopsies stopped. How convenient.
https://www.ncbi.nlm.nih.gov/pmc/articles/PMC7291342/
I am thinking we are being played in a 'game' and on line influencers are just a part of it as are politicians. Don't criticise them if you are turning a blind eye to your own role in feeding the beast.